インプラント症例⑤
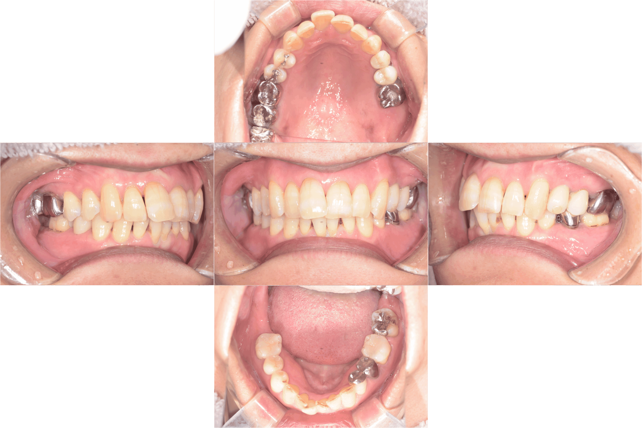
治療前口腔内写真

治療後口腔内写真

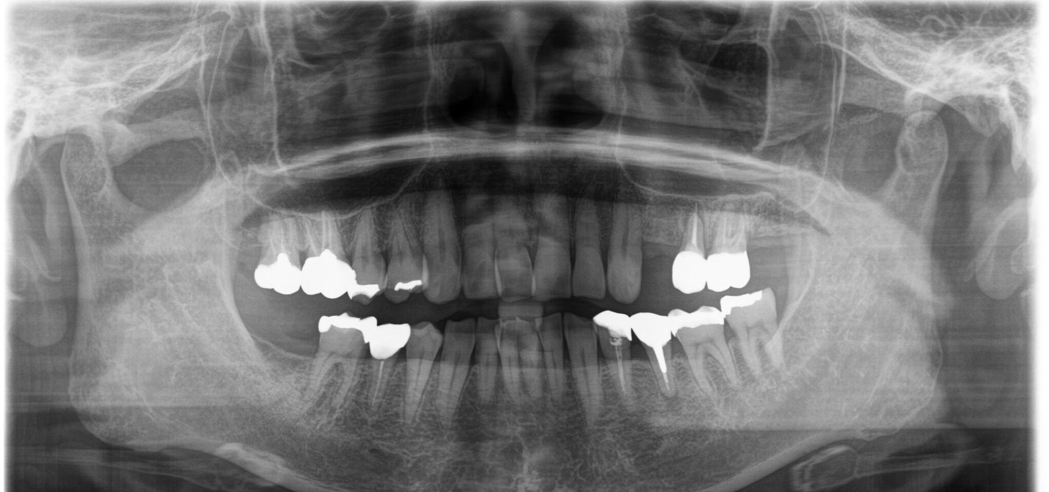
治療前レントゲン画像

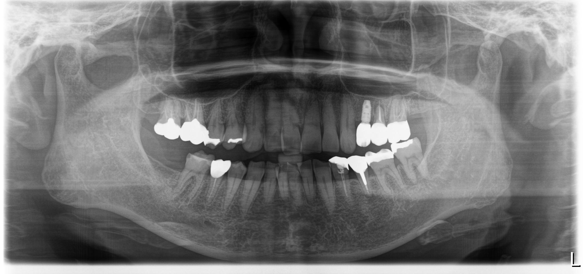
治療後レントゲン画像

シュミレーション画像

| 主訴 | 左上の欠損部の相談をしたい |
|---|---|
| 年齢 | 初診時:56歳 |
| 性別 | 女性 |
| 治療内容 | 左上4番 インプラント埋入術 |
| 治療期間 | 約6ヶ月 |
| 治療費用 |
562,000円(税込) |
| リスク、副作用 | 術後疼痛、腫脹、出血、下口唇の感覚異常 |

24時間AI相談
治療の気になるお悩み
まずはご相談ください





| 主訴 | 左上の欠損部の相談をしたい |
|---|---|
| 年齢 | 初診時:56歳 |
| 性別 | 女性 |
| 治療内容 | 左上4番 インプラント埋入術 |
| 治療期間 | 約6ヶ月 |
| 治療費用 |
562,000円(税込) |
| リスク、副作用 | 術後疼痛、腫脹、出血、下口唇の感覚異常 |