インプラント症例①
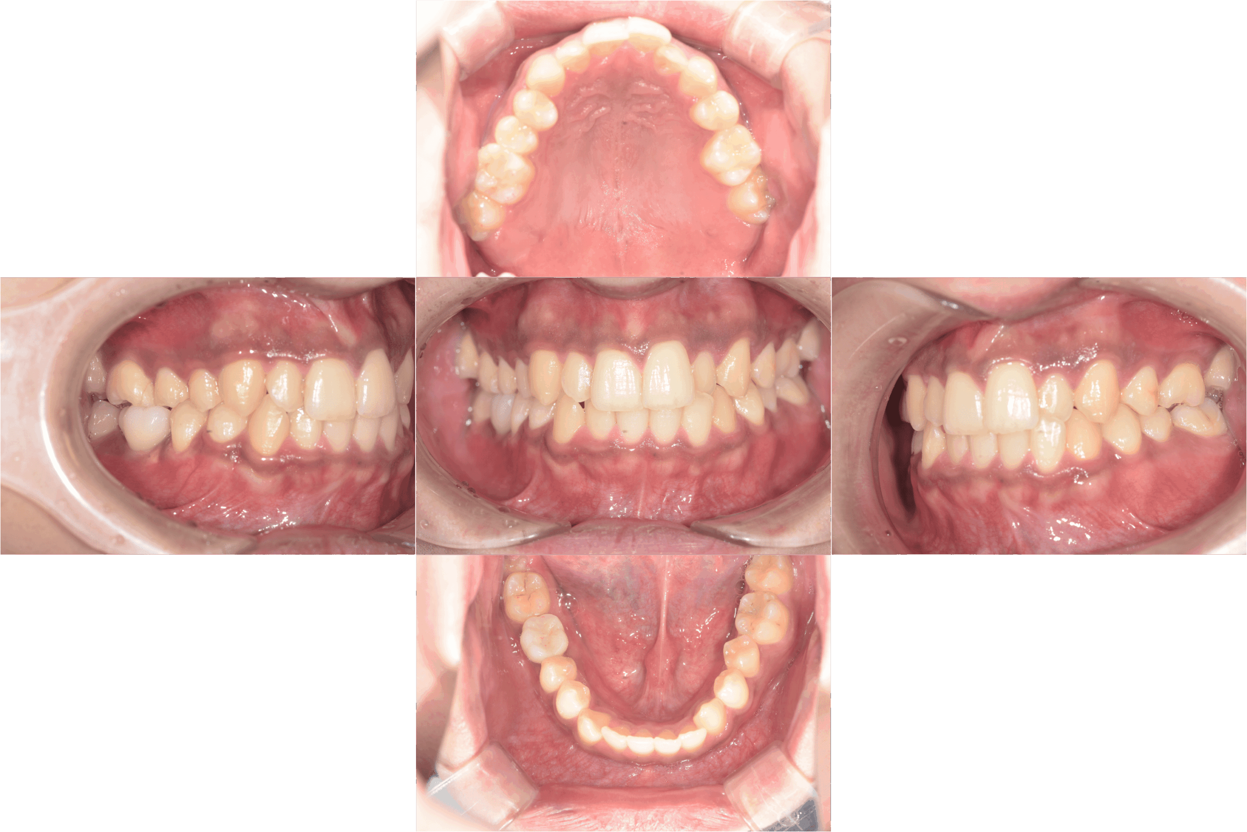
治療前口腔内写真

治療後口腔内写真

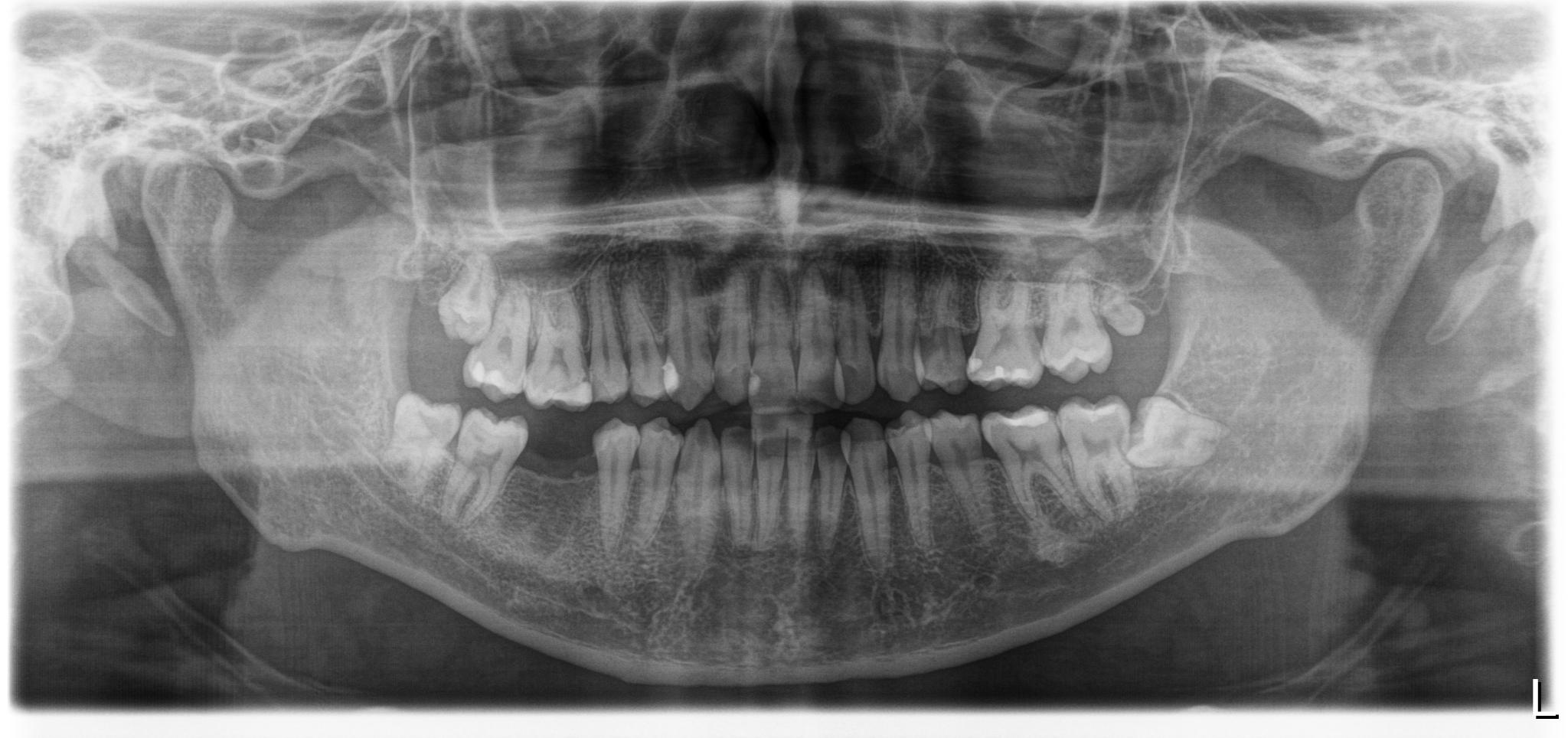
治療前レントゲン画像

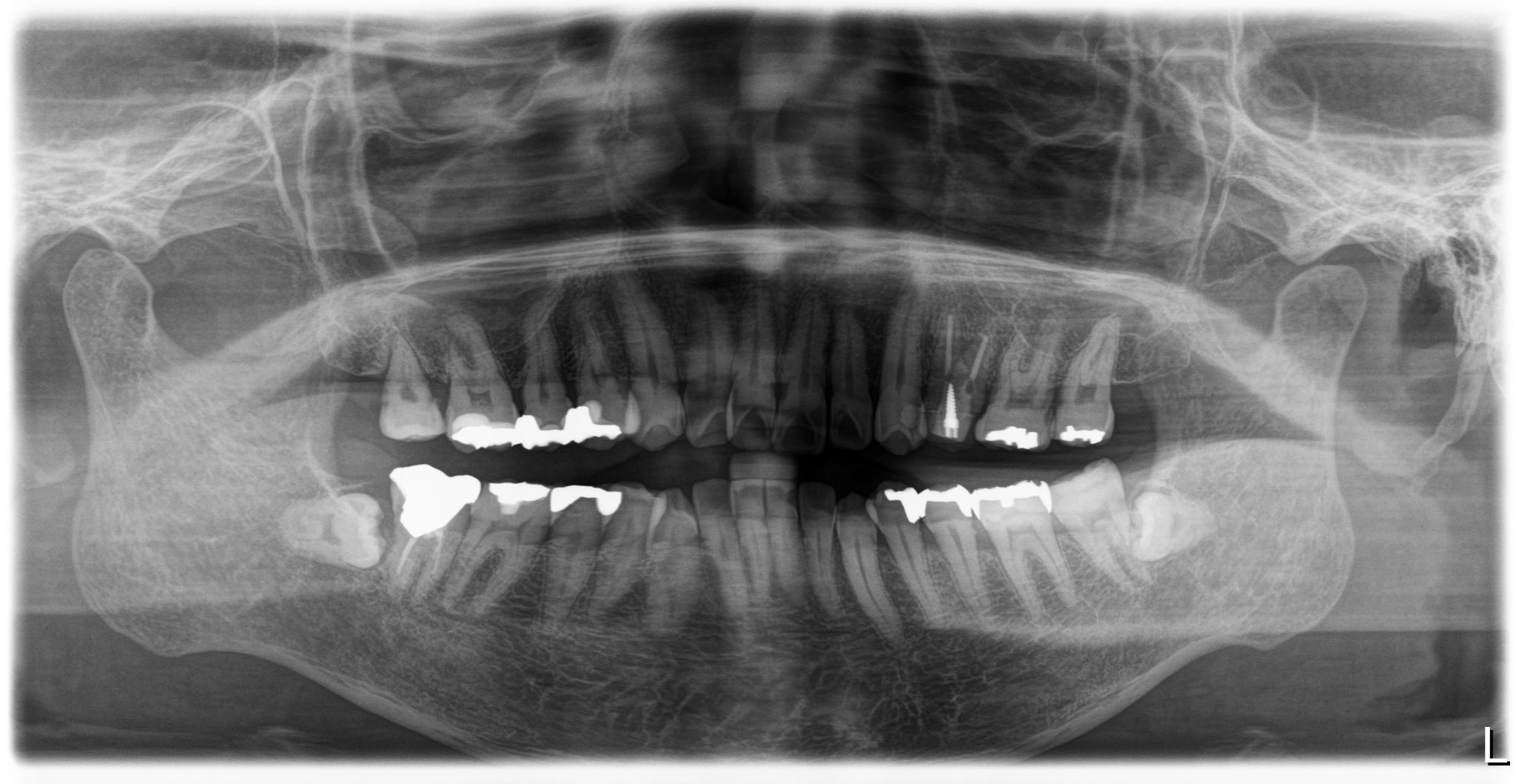
治療後レントゲン画像

シュミレーション画像

最終補綴後(かぶせ物装着後)の口腔内写真

| 主訴 | 右下奥歯の銀歯がとれた。(右下7番のインレー脱離。) |
|---|---|
| 年齢 | 初診時:65歳 |
| 性別 | 男性 |
| 治療内容 | 右下7番 インプラント埋入術、GBRあり |
| 治療期間 | 約5ヶ月 |
| 治療費用 |
672,000円(税込) |
| リスク、副作用 | 術後疼痛、腫脹、出血、下口唇の感覚異常 |
インプラント症例②
治療前口腔内写真

治療後口腔内写真

治療前レントゲン画像

治療後レントゲン画像

CT画像

最終補綴後(かぶせ物装着後)の口腔内写真

| 主訴 | 右下奥の欠損部の相談をしたい |
|---|---|
| 年齢 | 初診時:49歳 |
| 性別 | 男性 |
| 治療内容 | 右下6番 インプラント埋入術 |
| 治療期間 | 約5ヶ月 |
| 治療費用 |
562,000円(税込) |
| リスク、副作用 | 術後疼痛、腫脹、出血、下口唇の感覚異常 |
インプラント症例③
治療前口腔内写真

治療後口腔内写真

治療前レントゲン画像

治療後レントゲン画像

シュミレーション画像

| 主訴 | 右下奥の治療方法の相談をしたい |
|---|---|
| 年齢 | 初診時:26歳 |
| 性別 | 男性 |
| 治療内容 | 右下6番 インプラント埋入術 |
| 治療期間 | 約6ヶ月 |
| 治療費用 |
562,000円(税込) |
| リスク、副作用 | 術後疼痛、腫脹、出血、下口唇の感覚異常 |
インプラント症例④
治療前口腔内写真

治療後口腔内写真

治療前レントゲン画像

治療後レントゲン画像

CT画像

| 主訴 | 左上の歯が欠けている |
|---|---|
| 年齢 | 初診時:60歳 |
| 性別 | 女性 |
| 治療内容 |
左上5番 |
| 治療期間 | 約6ヶ月 |
| 治療費用 |
672,000円(税込) |
| リスク、副作用 | 術後疼痛、腫脹、出血、下口唇の感覚異常 |
