シュアスマイルとは
「シュアスマイル」は、デンツプライシロナ社が開発したマウスピース型の矯正システムです。このシステムは、最新のCAD/CAM技術を活用し、歯や歯根、顎の骨を3Dモデル化した仮想患者「バーチャルペイシェント」を使用して、効率的な治療計画を立てることができます。高精度の口腔内スキャナーを使用して、わずか数分間で歯型をデジタル化するため、従来のような負担をかけずに正確なデータを取得できます。
こんな方におすすめ
- 矯正治療を周囲に気づかれずに進めたい方
- 効率的に矯正治療を進めたいと考えている方
- 矯正後の歯並びを事前にイメージしたい方
- 矯正中も普段通りの食事を楽しみたい方
シュアスマイルの特徴
「プライムスキャン」を採用
シュアスマイルには、「プライムスキャン」という先進技術が採用されています。従来の印象材を使用した型取りでは、長時間口を開け続ける必要があり、不快感を感じることが少なくありませんでした。しかし、プライムスキャンでは、小型カメラで口腔内を撮影するだけで、わずか数分で高精度なデジタルデータを取得できます。
この技術により、患者様の負担を最小限に抑えながら、正確な歯型データを得ることができます。口腔内を高精度カメラで撮影することで、歯や歯根、骨を3Dモデル化し、自動的にデジタル設計図と治療計画が作成されます。これにより、患者様の負担が大幅に軽減され、より快適な治療が可能となります。
矯正過程の情報提供
治療の初期段階で、すべての矯正過程に関する情報を提供します。アメリカからマウスピースなどの矯正装置が一式届くため、計画通りに効率よく治療を進めることが可能です。
矯正治療の時間短縮
シュアスマイルのマウスピース矯正は、特に複雑でない歯並びの場合、従来の矯正治療と比べて治療時間を短縮できることが報告されています。また、抜歯がほとんど必要ない点も大きな利点です。
簡単に脱着可能
従来のワイヤー矯正装置は、見た目が気になったり、固定されたワイヤーのためにブラッシングが難しくなるといったデメリットがありました。しかし、シュアスマイルでは、マウスピース型の装置を使用するため、装置による痛みが少なく、食事やお手入れの際には自分で簡単に着脱できる便利さがあります。
プライムスキャンについて
プライムスキャンは、セラミックの被せ物やマウスピース矯正(シュアスマイル)、インプラント治療など、幅広い治療に活用されており、これまで以上に質の高い治療を提供することが可能です。
プライムスキャンの特徴
苦しくない型取り
従来の型取り方法では、粘土状の材料を口いっぱいに入れて固まるのを待つ必要があり、多くの方が吐き気や不快感を感じていました。また、上下別々に行うため、さらに時間がかかっていました。プライムスキャンを使用する場合は、口の中を小型カメラでスキャンするだけで、わずか1分以内に型取りが完了します。これにより、不快な体験をすることなく、快適に治療を進めることができます。
治療が早く進む
プライムスキャンによる型取りは非常に短時間で済むだけでなく、取得されたデータは即座に処理され、必要な治療用具の作成が速やかに開始されます。これにより、従来の方法で必要だった手間や時間を大幅に短縮し、治療全体をスピーディに進めることが可能です。
治療の精度が高まる
従来の型取りでは、型が変形したり、気泡が入ったりすることで精度が低下することがありました。プライムスキャンでは、高解像度の画像を取得できるため、細部に至るまで非常に精密な型取りが可能です。これにより、作成される被せ物や矯正装置の精度が向上し、最適なフィット感と治療結果が得られます。
安全性が高い
プライムスキャンは、従来の型取りで使用される材料を使用しないため、誤嚥や嘔吐、窒息のリスクがありません。また、スキャナーから発せられる光は放射線ではなく、体に無害なため、安心して使用できます。
清潔
スキャナーの先端部分は患者様ごとに交換され、常に清潔な状態が保たれています。また、材料を使用しないため、口の周りが汚れる心配もなく、衛生面でも優れています。
歯の状態をリアルタイムで
確認できる
プライムスキャンでスキャンしたデータは、即座にスクリーンに表示され、患者様はご自身の歯の状態をリアルタイムで確認できます。スクリーンはタッチパネル式で、歯の状態を様々な角度から確認できるため、肉眼では見えにくい部分まで把握することが可能です。これにより、治療内容をより理解しやすくなり、治療へのモチベーションも向上します。
シュアスマイルによる
マウスピース矯正治療の流れ
1歯型の撮影
まず、口腔内スキャナーを使用してお口全体の歯並びをスキャンし、デジタルデータを作成します。従来の印象材を使った型取りとは異なり、吐き気や不快感を感じることが少ないのが特徴です。
2データをもとに歯の動きを確認
スキャンしたデジタルデータをシステムに取り込み、治療によって歯がどのように動くかを確認します。
3治療計画の立案・決定
デジタルデータとシミュレーションをもとに、患者様に最適な治療計画を立案し、ご説明します。治療の全体像を事前に把握できるため、安心して治療を進められます。
4マウスピースの製作・お渡し
治療計画に基づき、オーダーメイドのマウスピースを製作します。完成したマウスピースをお渡しし、装着方法や取り外し方についての説明を受けたうえで、治療を開始します。
52週間ごとに交換する
マウスピースは2週間ごとに新しいものに交換します。これにより、歯を徐々に動かして理想的な歯並びへと導きます。
無料矯正相談を
受け付けております
当院では、マウスピース矯正を検討されている方のために、無料の矯正相談を受け付けております。相談の際には、プライムスキャンを用いて精密な歯型をスキャンし、そのデータを基にした治療計画を無料でご提案いたします。治療の流れや期間、費用について詳しく説明し、最適な矯正方法をご案内しますので、ぜひお気軽にご相談ください。
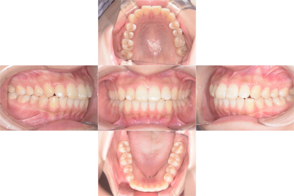
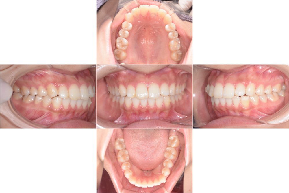
マウスピース矯正の症例
術前

術後

アタッチメント

| 主訴 | 上の前歯が下唇にあたるのが気になる |
|---|---|
|
年齢 |
28歳 |
| 性別 | 女性 |
| 治療内容 | シュアスマイルによるマウスピース矯正治療 |
|
治療期間 |
4ヶ月 |
|
治療費用 |
770,000円 |
|
リスク・副作用 |
後戻り |
